Kemik rejenerasyonu için yenilikçi tıbbi çözüm
Dental implant uygulanamayan hastalarda kemik rejenerasyonunu sağlamak üzere geliştirilen kişiye özel titanyum mesh, kemik augmentasyon işlemlerinde greft materyalinin korunması ve yeni kemik oluşumunun desteklenmesi amacıyla kullanılan, hastanın kendi anatomisine tam uyumlu titanyum bir bariyer sistemidir.
Kişiye Özel Titanyum Mesh (CUSTIMESH)
Dental implant uygulanamayan hastalarda kemik rejenerasyonunu sağlamak üzere geliştirilen kişiye özel titanyum mesh, kemik augmentasyon işlemlerinde greft materyalinin korunması ve yeni kemik oluşumunun desteklenmesi amacıyla kullanılan, hastanın kendi anatomisine tam uyumlu titanyum bir bariyer sistemidir.
Medikal sınıf titanyumdan, hastanın bilgisayarlı tomografi verileri kullanılarak CAD yazılımlarıyla tasarlanan ve 3D baskı teknolojisiyle üretilen bu yenilikçi çözüm, özellikle kompleks kemik defektlerinde standart meshlerin sağlayamadığı üstün mekanik stabilite ve mükemmel adaptasyon özellikleri sunar. Anatomik yapıya tam uyum sağlayarak greft materyalinin yerinde kalmasını garanti ederken, optimal vaskülerizasyonu destekleyerek kemik rejenerasyon sürecini hızlandırır.
- Özel Tasarım
- Mükemmel uyum
- Grade 23 Medikal Sınıf Titanyum Malzeme
- Optimum Şekilde Tasarlanmış Vida Delikleri
- Özel Olarak Tasarlanmış İmplant ve Kondenzasyon Delikleri
- Cerrahi Süre Kısalması
- Çıkarımı Kolaylaştırmak için Özel Tasarım
- Palatinal Yada Lingualden Vidalama İhtiyacı Olmaması
- Düşük Komplikasyon Riski
CUSTIMESH’in Sipariş ve Teslimat Süreci
- DICOM
Hastanın DICOM dosyası WeTransfer aracılığıyla custimesh.case@gmail.com adresine gönderilmelidir. *AÇIKLAMA kısmına hekim adı ve Custiplate yapılacak ilgili bölge belirtilmelidir. Custiplate için, Fov genişliği tedavinin uygulanacağı bölgeyi kapsayacak şekilde 0.5 mm kesit kalınlığında Medikal CT çekilmelidir. - HEKİM ONAYI
Custiplate planlanacak bölge dikkate alınarak 3 boyutlu model hazırlanır, hekimin onayına sunulur ve gerekli değerlendirme için hekimle iletişim sağlanır. - ÖDEME
Bu aşamada ödeme yapılıp aktif tasarıma başlanarak Custiplate tasarım sürecine geçilir. - TASARIM
İlgili bölge için ön değerlendirmeler ve analizler yapılıp Custiplate’in tasarımı
bitirilir. - HEKİM ONAYI
Kişiye özel tasarlanan Custiplate’in üretime hazır son tasarımı, hekim onayına sunulur. - ÜRETİM
Hekim tarafından onaylanan Custiplate, 3 boyutlu yazıcı teknolojisi kullanılarak Grade 23 (Ti6Al4V) Medikal Titanyum Alaşımından
üretilir. - KARGO
Gerekli post-proses aşamalarından geçen Custiplate özenle hazırlanarak ilgili hekime kargolanır.
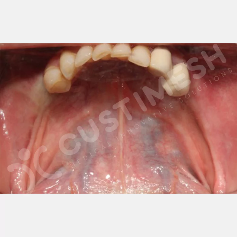
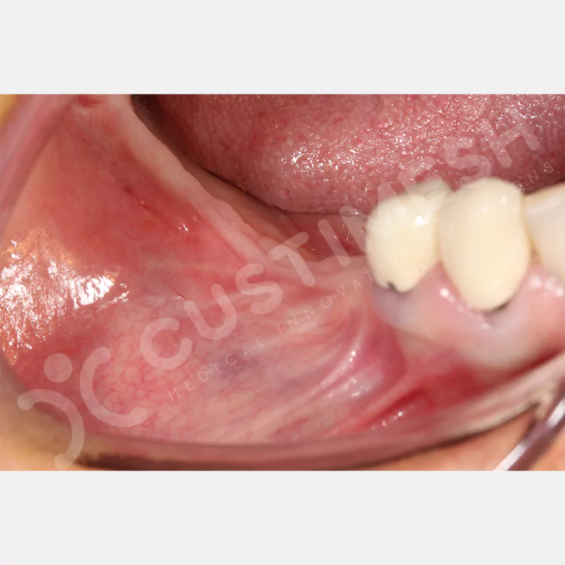
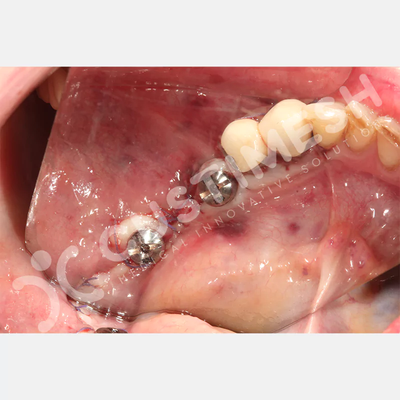
VAKA 1
VAKA 2
VAKA 3
250+
210+
120+
Çalıştığımız kurumlar
Yıldırım Beyazıt Mah. Aşık Veysel Bulvarı No:63/T Erciyes Teknopark Melikgazi/Kayseri Türkiye
Pazartesi-Cuma: 9:00 – 18:00
Cumartesi: 9:00 – 18:00

























































































